语音播报
9月22日,Cell Stem Cell在线发表了题为《人干细胞来源的神经元修复环路重塑神经功能》的研究论文,该研究通过解析帕金森病模型鼠脑内移植的人多巴胺能神经元重构的神经环路,发现移植干细胞来源的神经细胞可以特异性修复成年脑内受损的黑质-纹状体环路,改善帕金森病模型动物的行为学障碍。该研究由中国科学院脑科学与智能卓越创新中心(神经科学研究所)、上海脑科学与类脑研究中心、中科院灵长类神经生物学重点实验室研究员陈跃军指导,与复旦大学附属儿科医院周文浩/熊曼研究组,美国威斯康星大学张素春研究组合作完成。
神经元是大脑的基本功能单元,脑内有上千种不同类型的神经元,神经元之间形成复杂而精确的网络连接(神经环路),是感知世界,思考和行为的基础。较多神经系统疾病包括中风、脑外伤和神经退行性疾病(帕金森病和阿尔兹海默病等),均导致脑内神经元的丢失和神经连接的破坏,进而产生严重的神经功能障碍,如偏瘫、运动迟缓、肌肉僵直和学习记忆能力受损等。然而,包括人在内的成年哺乳动物大脑神经再生能力有限,对于这些神经元丢失导致神经连接破坏和神经功能受损的疾病,临床上缺乏有效治疗措施。通过脑内移植干细胞来源的神经细胞,替代脑内丢失的神经细胞的功能(干细胞治疗),是潜在的治疗措施之一。神经系统疾病干细胞治疗的关键是对受损神经环路的修复和功能重建,而脑内神经元之间精确的网络连接是在发育过程中逐渐形成,涉及复杂的神经纤维生长导向的机制。在成年疾病脑环境中,移植的神经细胞能否长出神经纤维,桥接“失联”的上游和下游脑区,进而修复受损的神经环路仍不清楚。这种修复作用是移植细胞随机整合的结果还是特异性的修复?其背后的机制和原则是什么?这些都是神经系统疾病干细胞治疗领域亟待解决的关键问题。

女娲补天(脑),寓意通过移植干细胞来源的神经细胞,特异性修复大脑中受损神经环路,重塑神经功能
针对以上问题,科研团队以帕金森氏病为模型,研究成年脑内移植干细胞来源的神经细胞修复受损神经环路的可行性和机制。帕金森氏病是以静止性震颤、肌强直和运动迟缓等为主要表现的神经退行性疾病,其主要原因是大脑黑质脑区的多巴胺能神经元进行性丢失,导致黑质脑区至纹状体脑区神经连接的破坏,进而造成纹状体内多巴胺分泌不足,最终导致病人运动功能的障碍。团队成员致力于开发针对不同类型神经元的人源干细胞神经分化技术,并在此基础上建立高效的人干细胞分化中脑黑质多巴胺能神经元的方法。研究进一步通过基因编辑技术对人干细胞进行遗传学标记,从而能够特异性示踪干细胞来源的人多巴胺能神经元及其神经纤维。研究将遗传学标记的人多巴胺能神经元移植到帕金森氏病模型鼠受损的黑质脑区,结果发现,黑质脑区移植的人多巴胺能神经元长出大量神经纤维,沿着内源黑质-纹状体神经连接相似的路径,特异性地生长并延伸到其内源靶区域-纹状体,与纹状体神经元形成神经连接,且大部分神经纤维都投射到纹状体。研究进一步通过遗传学技术和狂犬病毒介导的示踪技术,追踪黑质移植的人多巴胺能神经元接受的上游神经支配,发现移植的人多巴胺能神经元接受与内源黑质多巴胺能神经元相似的神经支配。对神经元电生理功能的研究发现,移植的人多巴胺能神经元表现出和内源小鼠黑质多巴胺能神经元相似的电生理特性,接受相似的神经递质调控。这些结果说明,帕金森病模型小鼠脑内移植的人多巴胺能神经元特异性的修复和重建了受损的黑质-纹状体神经连接,且其结构和功能与内源神经连接高度一致。研究通过行为学检测发现,细胞移植组小鼠运动功能障碍随着移植时间延长逐渐得到改善,而通过化学遗传学技术抑制移植神经细胞的活性,小鼠运动功能的改善便消失了,提示移植细胞重建的神经功能连接介导模型小鼠行为学的恢复。研究在帕金森病模型小鼠的黑质移植另外一种类型的神经细胞-人皮层谷氨酸能神经元,其神经纤维则主要投射到皮层和嗅球脑区,几乎不投射到纹状体,无法修复受损的黑质-纹状体神经环路,模型动物的运动功能障碍也不能得到改善,说明只有特定类型的细胞才能修复特定的神经功能环路。
该研究提示成年脑内受损的神经连接可以通过移植干细胞来源的神经细胞实现结构和功能上的修复,重塑神经功能。同时,该研究也发现,不同类型的神经细胞对环路的修复作用不同,提示对于不同类型神经元丢失造成的神经系统疾病,需要有针对性的移植特定的神经细胞进行环路修复和治疗。这些发现为脑损伤和神经退行性疾病的治疗提供了新的思路和理论基础。目前,人脑内主要的神经细胞类型已可以通过干细胞神经分化技术在体外高效获得,干细胞技术的发展将为很多神经系统疾病的治疗带来新的希望。
复旦大学附属儿科医院博士熊曼与美国威斯康星大学博士陶冶铮是论文第一作者,脑智卓越中心博士高琴琴等做出贡献。研究工作得到中科院、科技部、国家自然科学基金委员会和上海市科委的资助。

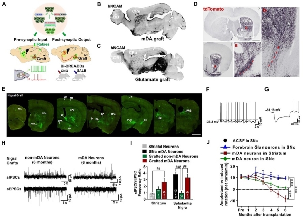
A.实验的总体设计和方案。B-C.通过人特异性抗体hNCAM染色发现移植到黑质的多巴胺能神经元,而不是皮层谷氨酸能神经元,发出神经纤维投射到背侧纹状体。D.通过遗传学技术特异性标记多巴胺能神经纤维,同样发现黑质移植的多巴胺能神经元主要投射到背侧纹状体。E.狂犬病毒示踪技术发现移植到黑质的多巴胺能神经元接受上游多脑区的神经支配。F-G.电生理实验显示移植的多巴胺能神经元表现为内源黑质多巴胺能神经元相同的电生理特性。H-I.黑质的多巴胺能神经元接受内源黑质多巴胺能神经元相似的功能性神经支配。J.黑质移植的多巴胺能神经元,而不是皮层谷氨酸能神经元,可以改善帕金森病模型动物的行为学障碍。
© 1996 - 中国科学院 版权所有 京ICP备05002857号-1
京公网安备110402500047号 网站标识码bm48000002
地址:北京市西城区三里河路52号 邮编:100864
电话: 86 10 68597114(总机) 86 10 68597289(总值班室)
© 1996 - 中国科学院 版权所有 京ICP备05002857号-1
京公网安备110402500047号 网站标识码bm48000002
地址:北京市西城区三里河路52号 邮编:100864
电话: 86 10 68597114(总机) 86 10 68597289(总值班室)
© 1996 - 中国科学院 版权所有
京ICP备05002857号-1
京公网安备110402500047号
网站标识码bm48000002
地址:北京市西城区三里河路52号 邮编:100864
电话:86 10 68597114(总机)
86 10 68597289(总值班室)